Dental Bridges are something I talk about almost every day with patients who feel awkward smiling or uncomfortable chewing because of a missing tooth. I have noticed that many people live with gaps for years, thinking it’s not a big issue, until it starts affecting their confidence, speech, and even digestion.
The truth is, replacing a missing tooth doesn’t have to be complicated or intimidating when you understand your options clearly.
In this guide, I will break down everything about dental bridges, types, materials, costs, and care, so you can decide what’s right for you with confidence. And once you understand how simple and effective dental bridges can be, you may wonder why you waited so long.
Medical Disclaimer:
The content provided in this blog is intended for educational purposes only and should not be considered a substitute for professional dental advice, diagnosis, or treatment. Never disregard or delay seeking professional dental care because of something you read here. Results may vary from person to person. Treatment decisions should be made after a personal consultation with a licensed dentist.
Key Points at a Glance
1. What dental bridges are and why they are important for oral health and facial structure
2. Who is an ideal candidate for dental bridge treatment
3. Different types of dental bridges and where each is best suited
4. Step-by-step overview of the tooth bridge dental procedure
5. Common tooth bridge material options and their durability
6. Teeth bridge cost in Bangalore and factors affecting pricing
7. How long dental bridges last and what affects their lifespan
8. How to clean and maintain a dental bridge properly
9. Advantages and disadvantages of dental bridges
What Are Dental Bridges?

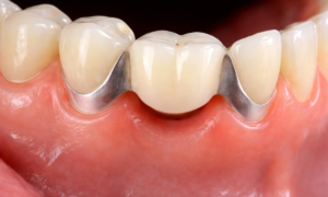
Dental bridges are fixed dental restorations used to replace one or more missing teeth. I often explain them as “bridges” that fill the gap between two healthy teeth or implants. These surrounding teeth act as anchors and support the artificial tooth in between.
This treatment restores both function and appearance. It allows you to chew comfortably, speak clearly, and smile with confidence again.
Why Dental Bridges Are Needed
When a tooth is missing, it’s not just a cosmetic issue. I have seen many patients ignore gaps, only to face bigger dental problems later. Missing teeth can cause neighboring teeth to shift and affect jaw alignment.
Dental bridges help prevent these complications. They maintain facial structure, improve bite balance, and protect overall oral health.
Types of Dental Bridges Explained
There isn’t a one-size-fits-all solution. I always suggest the type of bridge based on your oral condition, budget, and expectations.
Traditional Dental Bridges

Traditional dental bridges are the most commonly used option, and for good reason. I usually recommend them when there are healthy teeth on both sides of the missing tooth. These supporting teeth are covered with crowns that hold the artificial tooth firmly in place.
What makes traditional bridges reliable is their strength and stability. They can handle normal chewing pressure very well, especially in the back teeth. With proper care, they offer excellent durability and long-term comfort.
Best suited for:
1. Missing teeth with strong adjacent teeth
2. Back teeth that handle more chewing force
3. Patients looking for a long-lasting solution
Cantilever Dental Bridges

Cantilever bridges are slightly different because they are supported by only one adjacent tooth. I usually suggest this option only in very specific situations, mainly when placing support on both sides isn’t possible.
Because they rely on a single tooth, they are not as strong as traditional bridges. I’m careful about where I use them, as excessive bite pressure can affect their lifespan. They are typically recommended for areas that experience less chewing force.
Best suited for:
1. Areas with low bite pressure
2. Situations where only one adjacent tooth is available
3. Front teeth in selected cases
Maryland Dental Bridges (Resin-Bonded Bridges)

Maryland dental bridges are a more conservative option. Instead of crowns, they use a metal or ceramic framework that is bonded to the back of the adjacent teeth. I like this approach when preserving natural tooth structure is a priority.
These bridges work best for front teeth, where aesthetics matter most. However, they may not be ideal for back teeth due to chewing pressure. Proper case selection is key to their success.
Best suited for:
1. Front teeth replacement
2. Younger patients
3. Cases where minimal tooth alteration is preferred
Implant-Supported Dental Bridges

Implant-supported bridges are one of the most advanced options available today. Instead of resting on natural teeth, they are supported by dental implants placed in the jawbone. I often recommend this when multiple teeth are missing in a row.
This type of bridge offers exceptional strength and stability. Since implants replace tooth roots, they also help preserve jawbone health. Although the process takes longer, the results are often worth it.
Best suited for:
1. Multiple missing teeth
2. Patients with sufficient bone support
3. Long-term, fixed tooth replacement needs
| Type of Dental Bridge | Support System | Strength | Best Location |
| Traditional Bridge | Two adjacent teeth | High | Front & back teeth |
| Cantilever Bridge | One adjacent tooth | Moderate | Low-pressure areas |
| Maryland Bridge | Bonded framework | Moderate | Front teeth |
| Implant-Supported Bridge | Dental implants | Very high | Any area |
Who Is an Ideal Candidate for Dental Bridges?
Not everyone is suitable for dental bridges, and I always evaluate carefully. Healthy gums and strong supporting teeth are essential.
You may be a good candidate if:
1. You have one or more missing teeth
2. Adjacent teeth are healthy
3. You prefer fixed restorations
4. You want a quicker solution
A consultation helps determine the best option.
How Does A Tooth Bridge Dental Treatment Work

The tooth bridge dental procedure usually involves preparing the supporting teeth. I shape these teeth slightly so crowns can fit over them securely. Once that’s done, impressions are taken for a custom-made bridge.
Here’s a simple breakdown of the process:
| Step | What Happens | Traditional Bridge | Cantilever Bridge | Maryland Bridge | Implant-Supported Bridge |
| Consultation | Oral exam, X-rays, treatment planning | Evaluate gap, adjacent teeth, and bite; discuss material options | Assess the single adjacent tooth and location; discuss suitability | Check front teeth, minimal tooth alteration, aesthetic considerations | Evaluate missing teeth, jawbone density, and overall oral health; discuss implants |
| Tooth Preparation | Adjacent teeth reshaped | Both neighboring teeth were reshaped to fit crowns | Only one supporting tooth was reshaped | Minimal reshaping of adjacent teeth; bonding areas prepared | Implants are surgically placed in the jawbone; there is a healing period before the bridge |
| Impression | Mould taken for the bridge | Detailed mould of prepared teeth for precise bridge fabrication | Mould of a single prepared tooth and gap | Mould of front teeth and bonding framework | Digital or physical impression of implant positions for a custom bridge |
| Temporary Bridge | Placed while a permanent one is made | Temporary crowns are placed on supporting teeth for protection | A temporary crown is placed on a single tooth | Temporary adhesive or framework placed to maintain space and function | A temporary prosthetic may be attached to implants for aesthetics during healing |
| Final Placement | Permanent bridge fixed | Permanent bridge cemented onto prepared teeth | Permanent bridge cemented onto a single tooth | Framework bonded to the back of adjacent teeth | Final implant-supported bridge fixed onto implants with screws or cement; occlusion checked |
Teeth Bridge Material Options
Choosing the right tooth bridge material plays a big role in durability and appearance. I always explain material choices clearly so patients can make informed decisions.
| Material | Appearance | Strength | Best For |
| Porcelain | Very natural | Moderate | Front teeth |
| Porcelain-Fused-to-Metal | Natural | High | Front & back teeth |
| Zirconia | Excellent | Very high | All teeth |
| Metal Alloy | Low aesthetics | Very high | Back teeth |
Each material has its own advantages, depending on where the bridge is placed.
How Much Does A Dental Bridge Really Cost?
When patients ask me, “Dental bridge, how much does it cost?”, I explain that it’s not just about the bridge itself. It also includes diagnosis, precision, materials, and expertise.
Factors that influence cost include:
1. Number of missing teeth
2. Type of bridge selected
3. Teeth bridge material
4. Supporting tooth condition
Investing in quality treatment often saves money in the long run. Let us see the detailed dental bridge price list of our clinic.
Teeth Bridge Cost in Bangalore
Teeth bridge cost varies depending on the material, the number of teeth, and the clinic’s expertise. I always believe in transparent pricing, so there are no surprises.
Here’s an approximate cost range of dental crowns and bridges in our DDC Smiles dental clinic, based on the material:
| Type | Estimated Cost (INR) |
| Stainless steel metal | ₹2500/- |
| Metal ceramic basic (7-year warranty) | ₹5000/- |
| Metal ceramic DMLS (15-year warranty) | ₹8000/- |
| All ceramic zirconia basic (10-year warranty) | ₹10,000/- |
| All ceramic zirconia premium (15-year warranty) | ₹15,000/- |
| All ceramic zirconia classic (20-year warranty) | ₹18,000/- |
Prices may vary based on case complexity and technology used.
How Long Does a Tooth Bridge Last?
One of the most common questions I hear is, “How long does teeth bridge last?” On average, a well-maintained bridge lasts between 7 and 15 years.
Some bridges even last longer with excellent care. Regular check-ups and proper hygiene make a huge difference.
What Affects The Tooth Bridge Lifespan?
The tooth bridge’s lifespan depends on several everyday habits. I always tell patients that maintenance is just as important as placement.
Key factors include:
1. Oral hygiene routine
2. Diet choices
3. Grinding or clenching habits
4. Regular dental visits
A little care goes a long way in extending bridge life.
How to Clean A Dental Bridge Properly?
Something many people overlook is how to clean a dental bridge. Cleaning under and around the bridge is essential to avoid decay and gum disease.
Here’s what I usually recommend:
1. Brush twice daily with a soft toothbrush
2.Use floss threaders or interdental brushes
3. Rinse with an antibacterial mouthwash
4. Visit your dentist every six months
Good hygiene protects both the bridge and supporting teeth.
Dental Bridges Advantages and Disadvantages
| Advantages of a Dental Bridge | Disadvantages of a Dental Bridge |
| Restores smile and facial appearance by filling missing tooth gaps | Requires reshaping of healthy adjacent teeth |
| Improves chewing efficiency and speech clarity | Does not prevent jawbone loss under the missing tooth |
| Faster treatment compared to dental implants | May need replacement after 10–15 years |
| More affordable than implants in most cases | Higher risk of decay if oral hygiene is poor |
| Fixed solution that feels stable and natural | Not suitable if the supporting teeth are weak |
| Blends well with natural teeth when properly designed | Can place an extra load on supporting teeth |
Practical Tips Before Getting a Dental Bridge
Before proceeding, I always share a few simple tips with my patients. These help set realistic expectations and ensure satisfaction.
1. Ask about material options.
2. Understand maintenance needs
3. Discuss long-term durability
4. Don’t compromise on quality
An informed decision always leads to better outcomes.
Crowns and Bridges Treatment in Koramangala
At our DDC Smiles dental clinic, crowns and bridges treatment in Koramangala has become increasingly advanced. Our techniques focus on comfort, precision, and natural-looking results.
Patients today benefit from:
1. Digital impressions
2. High-strength materials
3. Faster turnaround times
4. Minimally invasive approaches
These advancements make treatment smoother and more predictable.
Final Thoughts
Dental bridges are a dependable solution for restoring missing teeth when done correctly. I believe the right guidance, quality materials, and skilled care make all the difference in long-term success.
If you are looking for personalized care from the best dental clinic in Koramangala, choosing an experienced team matters more than ever. At the end of the day, our clinic, DDC Smiles, focuses on combining comfort, precision, and trust, so your smile feels complete again.
Frequently Asked Questions
1. Dental Bridge Vs. Implant – Which Is Better?
Dental implants are a long-term solution that replaces the tooth root and helps prevent bone loss. Dental bridges are faster and more cost-effective but rely on adjacent teeth for support. The best choice depends on oral health, budget, and treatment goals.
2. At What Age Can I Get A Dental Bridge?
There is no strict age limit for getting a dental bridge. It is generally recommended that once jaw growth is complete, usually after 18 years, the surrounding teeth and gums are healthy enough to support the Bridge.
3. How Many Teeth Can Be On A Bridge?
A dental bridge can usually replace one to three missing teeth, though in some cases it may replace up to four. The final number depends on bite pressure, location in the mouth, and the strength of the supporting teeth.
4. Is A Dental Bridge Procedure Painful?
The procedure is typically painless because it is performed under local anaesthesia. Some patients may experience mild sensitivity or soreness after the treatment, but this usually subsides within a few days and is easily managed.
5. Do Dental Bridges Feel Like Real Teeth?
Once healed and properly fitted, dental bridges feel quite natural. They restore normal chewing and speech, blend seamlessly with surrounding teeth, and most patients stop noticing them within a short period.
References:
1. https://my.clevelandclinic.org/health/treatments/10921-dental-bridges
2. https://ddcsmiles.in/crown-and-bridges-treatment-in-hsr-layout-and-koramangala/
Source for price: https://ddcsmiles.in/price-list/
Source for images: https://www.researchgate.net/




